病例精讲:管中窥豹-JNET分型与工藤PP分型
JNET分型与工藤PP分型是早期大肠癌诊断中常用的两种分型,介绍相关知识的文章很多,大家都非常熟悉。但在实际应用中,初学者常常碰到这样的问题:比如病变较大不能单一归类到某一型、很难把内镜图像与病理切片的表现联系起来等等。这里用我们科室日常的一个临床实际病例,聊聊对这两种分型的一点理解,希望能起到管中窥豹的作用。
女,53岁,无症状体检来我院行胃肠镜检查。 既往史无特殊, 查体及辅助检查未见明显异常。
一、大肠肿瘤内镜诊断分型
1. JNET分型
2. 工藤PP分型
二、病史
女,53岁,无症状体检来我院行胃肠镜检查。
既往史无特殊, 查体及辅助检查未见明显异常。
三、内镜表现
结肠镜下所见
距离肛缘约8 cm可见一大小约1.5 cm × 1.0 cm红色黏膜隆起,易出血,中央略凹陷,呈IIa+IIc型,病变边界清晰,周边可见白色棘皮样改变。
镜下所见
①整体:染色后病变边界更加清晰。
②局部:
肛侧隆起:表面残留靛胭脂较少,部分区域呈脑回样,浓淡较一致,提示表面微结构排列相对规则;部分呈脑回样呈腺瘤样改变,且腺体排列紧密。
口侧隆起:表面残留靛胭脂较多,呈不规则分布,浓淡不均,提示病变表面微结构凸凹不平、排列紊乱。
中央凹陷:表面残留靛胭脂较少,呈不规则分布,浓淡不均,提示表面微结构凸凹不平、排列紊乱,且腺体排列紧密。
依据JNET分型:
肛侧隆起,红圈,2A/2B,低/高级别上皮内瘤变;
口侧隆起,黄圈,2B,高级别上皮内瘤变/癌;
中央凹陷,蓝圈,2B,癌。
(注:内镜型号:HQ290I,近焦观察最高放大倍率约45倍。)
四、术前诊断
1.目前内镜信息是否能回答以下问题并指导进一步诊疗方案?
①病变的性质,癌还是非癌;
②如果有癌,癌的位置在哪;
③如果有癌,癌的浸润深度多少;
④如果有癌,癌的范围多大;
⑤如果有癌,分化程度如何;
⑥是否适合内镜治疗,如内镜治疗选择EMR还是ESD?
2.术前诊断
①部位:直肠。
②大体形态
a) IIa+IIc型;b)侧向发育型肿瘤,非颗粒,伪凹陷型。
③病理类型:分化型腺癌,癌组织考虑局限于IIc部分。
④浸润深度:冲吸气观察:吸气时病变整体形变,且形变明显。考虑病变位于黏膜层。
⑤病变范围:肿瘤局限于IIa+IIc区域,周边白色鸡皮样黏膜为非肿瘤区域。
五、诊断性ESD治疗
术前诊断提示为内镜治疗绝对适应证,考虑存在癌变,给予诊断性ESD治疗。
六、病理评估
1.体视显微镜观察
2.病理连续切片
3.病理复原图
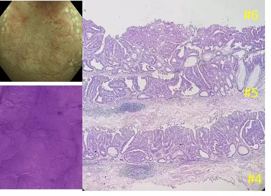
4.NBI、病理切片及体视显微镜图像对照分析
①肛侧隆起
JNET分型:2A/2B;工藤PP分型:IIIL型。
病理读片:病变区域腺管呈双层结构;上层为肿瘤腺管,符合高级别上皮内瘤变改变;间质较宽,其中可见较多毛细血管;下层为正常腺管,呈纵向长椭圆型,共1~2层腺管构成,越靠近病变中央层数逐渐减少,直至消失。
②口侧隆起
JNET分型:2B;工藤PP分型:IIIL型。
病理读片:病变区域腺管呈双层结构。上层为肿瘤腺管,符合高级别上皮内瘤变改变;间质较肛侧明显减少,其中毛细血管明显减少。下层为正常腺管,呈横向长椭圆型,共1层腺管构成,越靠近病变中央横行越明显,直至消失。第6号组织条上,蓝框区域(口侧隆起处略凹陷、与中央凹陷相沟通的部位),与第5、4号组织条肿瘤腺管相比,其结构异型性更加明显。
③中央凹陷
JNET分型:2B;工藤PP分型:IV型。
病理读片:病变区域腺管完全由肿瘤腺管构成。肿瘤腺管,符合高级别上皮内瘤变改变;间质很少,毛细血管进一步减少。
④整体分析
从肛侧隆起肛侧隆起中央凹陷表面微血管由密到疏到消失,由规则到不规则,JNET分型:2A/2B到2B;表面微结构由规则到不规则,JNET分型2A/2B到2B,工藤PP分型IIIL到IV。
提示:肿瘤细胞对间质的进行性侵犯,导致间质逐渐减少,其中的毛细血管随之减少,逐渐消失;肿瘤腺管对正常腺管逐步置换,双层结构中正常腺管逐渐减少,至完全被置换。
七、思考和启示
大肠癌发展过程中形态的变化如下图:
结合病例口侧隆起处的豁口,这个病例是不是非常符合图上红框中这种形态变化呢?依据目前大肠癌的内镜诊疗指南,结合术后病理评估,本病例符合治愈性切除。现密切随访中。
从这个病例中可得到如下临床启示:
_
①采用JNET/工藤PP分型时,较大的病变往往不能归于某一种类型,而是两种或两种以上。
②结合病变的大体形态、表面微血管及微结构的情况,先讲病变分区,各区域分别归类。
③依据分区归类结果,预测各部分病理类型,并根据最“重”区域的病理类型制定治疗方案(外科、ESD/EMR)。
④ 把推测结果、术后病理结果,与大肠癌发展过程中的形态学变化与相互印证,不断提高对大肠癌发生发展的认识,提高术前诊断精度。

